先生があなたに伝えたいこと
【髙橋 直樹】必ずしも、関節変形がひどいイコール手術という訳ではありません。治療法はそれぞれの患者さんの症状や生活背景などを考慮して決めることが大事です。

新潟医療生活協同組合 木戸病院
たかはし なおき
髙橋 直樹 先生
専門:膝関節
髙橋先生の一面
1.休日には何をして過ごしますか?
子供の相手かゴルフですね。夏休みにはたまに佐渡島でダイビングを。
2.最近気になることは何ですか?
子育てや趣味のゴルフを通して思うのですが、なかなか思い通りにいかない人や物事について、その現実をどう受け入れてどう一緒に歩んでいくか。最近つくづく考えさせられています。
Q. 変形性膝関節症(へんけいせいひざかんせつしょう)とはどのような病気なのですか?
A. レントゲン写真には写らないのですが、大腿骨と脛骨の間には本来なら隙間があり、この隙間には軟骨が存在しています。


変形性膝関節症というのは、その軟骨がすり減ることで、大腿骨と脛骨の間の隙間がなくなり、骨と骨が直接こすれ合うことで痛みを伴う変形をきたしてしまう病気です。末期になるとO脚またはX脚が著明となり、可動域制限(かどういきせいげん:膝関節の伸展、屈曲する角度が制限されること)が進行して歩行困難となります。
Q. なりやすい方の傾向や原因はわかっているのですか?
A. 高齢者と女性に多いことはわかっています。軽い症例を含めると、相当多くの方が患っているのではないでしょうか。原因には諸説あり、加齢とも関係しますが、長年の膝の酷使、また若い頃のケガなどがあげられます。過度の運動はもちろんですが、逆に運動不足も膝の柔軟性や筋力を低下させて、膝を傷める原因になってしまいます。
Q. 適度に運動することが予防にもつながるということでしょうか?
A. そうですね。適度というのは人により違いますから具体的にいうのは難しいのですが、一般にはほどよく歩く、自転車に乗るなど、ストレスをかけない程度に動くことはとても大切だと思います。大腿四頭筋(だいたいしとうきん)を強化する運動を日課にしたり、肥満気味の方は減量したりすることも有効ですよ。
Q. ほかに膝関節が傷む病気というのはあるのですか?
A. 突発性骨壊死(とっぱつせいこつえし)ですね。骨が壊死(えし:血流がなくなり、細胞や組織が死んでしまうこと)し、あれよあれよという間に圧潰(あっかい:押しつぶされること)して強い痛みを発し、歩けなくなってしまう場合もあります。骨壊死は、レントゲンでは関節がきれいに写っていても、MRIにより見つかることが多いです。自然に治癒することもありますが、変形性膝関節症に移行するケースもあります。
Q. 突発性というのは不安ですが、原因は何なのでしょうか?
A. 実はこれについても、血行障害説や微小外傷説など諸説あるんです。微小外傷説というのは、骨粗鬆症(こつそしょうしょう)などで軽微なケガが繰り返されることによって、少しずつ壊されていき、最終的には崩落するという説です。突発性の骨壊死症については、まだまだ研究の余地ありですね。
Q. わかりました。次に、変形性膝関節症の治療法について教えてください。
A. まず症状が軽度の場合には、理学療法士のもと、筋力強化訓練や可動域訓練などのリハビリを行います。また普段から筋力や柔軟性が低下しないように運動することで、症状の緩和が期待できます。次の段階では痛みを抑えるための内服や外用剤の使用、ヒアルロン酸の関節内注射を行います。これらの保存療法では効果が不十分な場合には、手術加療を検討することになります。個人差がありますので、あくまでも、まずはしっかりと治療法を検討することが大事ですね。
Q. 症状が進行しても手術に至らないケースもあるということですか?
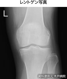
A. 痛みがひどくて日常生活に支障が出ますと手術の適応ですが、例えばこのレントゲンの患者さんの場合、隙間がだいぶ狭いし骨棘(こつきょく)もできています。


膝の曲がりも悪くなっていますが、ヒアルロン酸関節内注射で痛みが軽減し、日常生活に問題ない程度となり、その後も月1回の注射を継続されていて、もう5年ほどになります。変形が強いから痛みもひどいかというと、決してそうではないという典型例ですね。靴を変えたり、お仕事を辞められてからは痛みが緩和されるというようなケースもあったりします。
Q. 骨棘ができてしまう原因を教えてください。また骨棘自体は痛まないのでしょうか?
A. もともと膝関節には大腿骨側と脛骨側をつなぐ靭帯がありますが、軟骨がすり減ると靭帯が緩んできます。その緩んできたのを押し上げて、今までの緊張を保とうとして出てくるものという説があります。ですから、どこか痛みを感じる箇所にぶつかったりすれば痛むことはありますが、骨棘そのものは痛みを伴わないだろうと思います。
Q. ありがとうございます。では、手術について教えていただけますか?
A. はい。関節軟骨の損傷が軽度で、半月板の変性断裂などが痛みの原因と考えられる場合には関節鏡視下手術が適応となります。下図のレントゲン写真は軽い変形症なので、大腿骨と脛骨の間に隙間がまだちゃんとありますね。でも痛い。それでMRIで診ると、半月板が損傷しているのがわかります。


膝関節の上の骨と下の骨は軟骨でカバーされているのですが、辺縁部には空間があり、そこを埋めているのが半月板です。通常、その表面はつるっとしていますが、関節鏡で観察するとバサバサして断片が浮遊しているのが見えます。これが断裂している証拠。このバサバサしたところを関節鏡手術で掃除します。半月板損傷を起こしますと、半月板がつるっとすべらなくなって、辺縁部に負担がかかって炎症を起こしたり、痛くなったりしますから、掃除してヘンな引っかかりを取る治療を行うのです。


レントゲンやMRIの画像を見せていただきますと、とてもよくわかります。
それで次の段階、変形して軽度のO脚になってしまっている場合は「高位脛骨骨切り術」を行います。O脚というのは足首から股関節を結ぶ体の軸が内側に入ってしまっている状態で、ほうっておくと、どんどん進行してしまうんですね。通常は体重が軸の真ん中にかかって分散しますが、内側ばかりにかかってしまい、軟骨にも負担を与え、なおさらO脚がきつくなっていくのです。骨切り術では、脛骨の内側から外側へ切れ込みを入れてO脚を矯正し、開いたところには人工の骨を詰めてプレートで固定します。プレートは1年後くらいに外します。
高位脛骨骨切り術によってバランスを整え膝の内側にかかる荷重を分散させる。

Q. 高位脛骨骨切り術では関節は温存されるのですね。
A. ええ、そうなんです。ですから手術後も膝はよく曲がりますし、正座やスポーツを続けることも可能です。脚全体のバランスを整える手術ということですね。
Q. 変形や痛みが著しい場合には人工膝関節置換術の適応に?
A. はい。関節表面の骨を削って金属またはセラミックスの被せ物をして、骨と骨とが直に接触しないようにします。O脚も矯正されて、見た目から変わりますよ。膝関節全体に被せ物をする人工膝関節全置換術(TKA)、膝関節の内側だけあるいは外側だけが破壊されている場合には半分だけに被せ物をする人工膝関節単顆(たんか)置換術(UKA)というのもあります。歯でいえば全置換は総入れ歯、半分だけの置換は部分入れ歯と例えることができます。かみ合わせもきちんと調整して、元通りにはできないけれど、食べられないというような日常生活の支障を取り除くということですね。



Q. 人工膝関節はどれくらいの期間、保つものなのですか?
A. 9割の方は20年は保っています。でもそれも20年前に入れた人工膝関節の統計ですので、この間、当然、改良も進んでいますから、さらに延びていることが期待できます。
Q. 人工膝関節置換術において、何か取り組まれていることなどはありますか?
A. より正確で確実な手術を実現するため、手術器具には人工関節メーカーの協力を得て独自の改良と工夫を重ねてきました。例えばMIS(最小侵襲術)が提唱されて約10年になります。人工関節を設置する際に、皮膚切開を小さくするだけではなく、軟部組織を傷つけることなく、かつ十分な展開で手術する視野を確保することが重要なのですが、その視野の妨げになる軟部組織をよけるためのリトラクターという器具を改良しました。また骨を正確に削るための骨切りガイドなど、さまざまな手術器具に工夫を施しています。切ったりはがしたりということをなるべくしない方が、術後の回復が早いことはわかっていますので、そのためにはどうしたらいいかを考える必要があるわけです。
Q. 人工膝関節手術のあと退院まではどれくらいかかるのでしょうか?
A. 2週間程度でしょうか。リハビリをして杖歩行が安定しての退院となりますので、年齢や術前からの筋力低下の程度によっては、より長い入院が必要となる場合もあります。当院では、退院してから安心して生活できるよう、すなわち、歩行が安定して日常生活の動作が安全に行えるようになるまで、しっかりとリハビリをしていただいています。患者さんには退院後も、膝の状態が落ち着くまで、毎日、自分自身でトレーニングを続けていただくことも大切です。
Q. ありがとうございました。最後に、まとめとしてひとことお願いします。
A. お話しした通り、手術の適応は痛みの程度や生活様式、生活背景等の事情などを考慮して決めていく必要があると思っています。患者さんには、ぜひ、主治医にご自分の状態を率直に伝え、よく相談していただきたいと思います。
Q. 最後に患者さんへのメッセージをお願いいたします。
取材日:2014.5.15
*本文、および動画で述べられている内容は医師個人の見解であり、特定の製品等の推奨、効能効果や安全性等の保証をするものではありません。また、内容が必ずしも全ての方にあてはまるわけではありませんので詳しくは主治医にご相談ください。



先生からのメッセージ
必ずしも、関節変形がひどいイコール手術という訳ではありません。治療法はそれぞれの患者さんの症状や生活背景などを考慮して決めることが大事です。